A. 動脈瘤が小さい場合 (5mm未満)
動脈瘤が小さく破裂の危険性が低ければ、MRIなどの検査を定期的に行い、慎重に経過を追うという方法が一般的です。大きくなったり、形が変化してきた場合は、更に検査を行い治療されるのが良いでしょう。
B. 破裂しやすい動脈瘤の場合
動脈瘤の破裂のしやすさは、その大きさ、形、場所などにより違っています。5-7mm以上の大きさの動脈瘤、形のいびつなもの、脳の後方にあるもの、多数できている場合、また喫煙する方、高血圧のある方、高齢の方は、破裂率が高いと考えられています。そのため、これらの要因に当てはまる場合は、破裂予防の治療をするのが良いと考えられます。
①の開頭術クリッピング術は、頭の骨をきり、動脈瘤の根元を金属でつくられた小さな洗濯ばさみのようなクリップでとじ、動脈瘤への血流をとめる方法です。この方法は確立された方法で、長期の効果も実証されています。
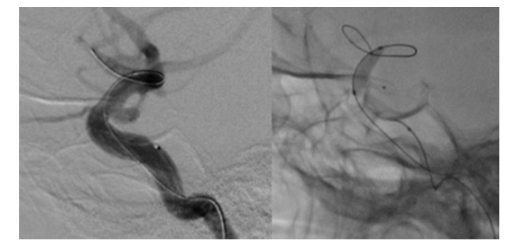
一方、②の血管内治療は、脳の血管の内側から動脈瘤にコイルをつめる手術法で、最近発展してきた技術です。細いカテーテルというチューブを動脈の内側から動脈瘤内に誘導し、細く柔らかい金属製のコイルで動脈瘤をつめます。頭を切らずに動脈瘤をつめることができることから急速に普及し始めています。不十分な閉塞に終わった症例では、瘤が再発することも報告されており、慎重な経過観察が必要となります。
脳動脈瘤に対して出血の予防として開頭して動脈瘤にクリップをかける外科的治療(クリッピング)と動脈瘤にコイルを詰めて塞いでしまう血管内治療(コイリング)があります。開頭を必要としない血管内治療によるコイリングは開頭しない分、体に負担はかけませんがそれぞれの治療には長所、短所があるのでその患者さんの総合的な状態をみてどちらかの治療法を行います。
一般に血管内治療によるコイリングが優先される状況としては、脳底動脈など頭の後ろ側にできた動脈瘤を処置する場合、前側の動脈瘤の中でも頭蓋骨の内部に動脈瘤がある場合、高齢者、動脈瘤が多発している場合、治療時に脳血管攣縮の処置も同時に行う場合などがあります。当院では外科的治療、血管内治療ともに治療体制が整っているため、病院側の都合で治療方針を決定することなく、その患者さんに合わせた治療法を選択できる環境が整っています。
外科手術、血管内手術についてはそれぞれ長所短所ありますが、血管内手術であるコイリングの代表的な危険性、合併症は主に術中破裂と血栓塞栓症があります。
術中破裂は手術中にカテーテル操作などの影響で動脈瘤が破裂してしまうことです。一般に一回破裂した破裂動脈瘤に対しての手術中の術中破裂リスクは2.3-6.5%と言われています。対して破裂していない未破裂動脈瘤の術中破裂は0.5-2.4%と言われています。一回破裂した破裂動脈瘤については未破裂のものと比較して明らかに術中破裂の可能性が高いと言われていて(4.1%vs0.5%)、クリッピング同様に血管内治療によるコイリングでも治療リスクは大きく異なります。
血栓塞栓症は治療中に操作手技によってできた血栓を脳血管に飛ばしてしまい、血管を詰めてしまい脳梗塞を作ってしまうことです。この合併症は開頭手術では起こりにくく、血管内治療に特徴的な合併症と言えます。すべての動脈瘤に関して血管内治療の脳梗塞のリスクは2.4-5.2%と言われています。
治療は全身麻酔で行います。鼠径部からカテーテルという管を動脈瘤近くまで進めて留置します。そこからさらに細いマイクロカテーテルを操作して動脈瘤内に誘導、留置します。留置の際にバルーンなどの補助を使って行うこともあります。

そこからプラチナでできた柔らかいコイルを動脈瘤の中に詰めていきます。動脈瘤内にコイルが行きわたり、瘤内に血流がなくなれば手術終了です。瘤内に血流が行かなくなるので出血のリスクは格段に下がります。

交通アクセス
最寄駅
東急東横線・目黒線 元住吉駅 徒歩7分
住所
〒211-8510 神奈川県川崎市中原区木月住吉町1-1
バス
JR横須賀線 武蔵小杉駅から約10分
JR川崎駅から約30分
JR新川崎駅から約20分
外来受付のご案内
受付時間
平日8:15~11:00(眼科のみ10:30まで)
休診日
土曜日、日曜日、祝日、国民の休日、年末年始
電話番号